Smile Gallery
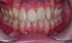
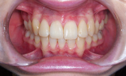
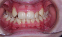
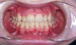
These smiles belong to happy patients who were treated here at Dewsbury Orthodontics.
The images demonstrate the types of improvements that can be achieved with orthodontic treatment.
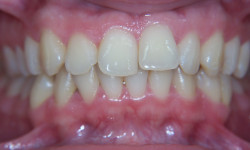
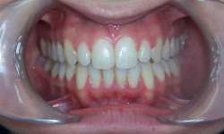
Smile #1
Patient Name: FE


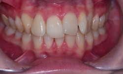
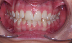
Smile #2
Patient Name: JB


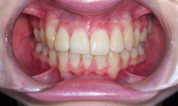
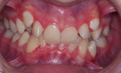
Smile #3
Patient Name: KA


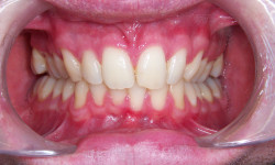
Smile #4
Patient Name: MF


Smile #5
Patient Name: RF


Smile #6
Patient Name: RH


Smile #7
Patient Name: RM


Smile #8
Patient Name: VG


Ready to transform your smile?
How to find us
Use the map below to find us if you are arriving by car, train or bus.
Get in touch
01924 485960
215 Bradford Road, Dewsbury, WF13 2HD
info@dewsburyorthodontics.co.uk